全プラン標準で、
フルジルコニアの
人工歯を使用
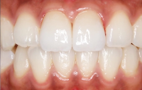
フルジルコニア標準搭載による品質保証
クリア歯科では、補綴物の品質こそが治療の真価を決めると考え、全プランに「フルジルコニア」を標準装備しています。高強度かつ審美的なこの素材は、長期予後において優れたパフォーマンスを発揮します。5種類のシェード展開により、審美的調和も追求可能です。
専属ラボ連携による最適価格の実現
クリア歯科が高品質なジルコニアを適正価格で提供できる背景には、専属ラボ「メディカル歯科技工所」との強固な連携があります。中間コストの削減と生産効率の向上により、クオリティを犠牲にすることなく、患者様にメリットのある価格設定を実現しています。
クリア歯科専属ラボ メディカル歯科技工所
クリア歯科が誇る専属ラボは、最新鋭の設備と熟練の技工士、そして臨床現場とのシームレスな連携が強みです。単なる発注関係を超えたチームワークにより、患者様の個別のニーズに即応した、精度の高い技工物を提供し続けています。
クリア歯科のドクターを支える歯科技工士が10名所属。ブレーンベース社の公認歯科技工士も在籍しています。
オーラルスキャナーやCAD /CAM、3Dプリンターなど、充実の設備やデータ通信により、スピーディに作製可能。インプラント人工歯は、年間約2,000本作製しています。
歯科医師や歯科衛生士と密な連携を取り、ケースにより診察にも同席するなど、患者様に寄り添う作製環境を整えています。
最短で来院2回で最終の詰め物を入れることができます。
厳選のインプラントメーカー
クリア歯科では、インプラントメーカーの選定において厳格な基準を設けています。世界的なシェアを持つリーディングカンパニーや、実績のある国産メーカーなど、多数の選択肢から医学的な信頼性と安定性を重視して採用しています。
ストローマン社
インプラントにおける世界トップシェアを誇る、スイスのインプラント研究開発メーカーです。革新的な技術力で、多くの患者様と歯科医師の信頼を得ています。
straumann® Pure(ピュア)
世界トップシェアを誇るストローマン製の100%フルジルコニア製のインプラント。金属アレルギーの患者様でも使用可能で、耐久性・審美性共に優れています。
※厚労省の認可が下りていない製品のため(2022年12月時点)、保証対象外となっております。
※厚労省の認可が下りていない製品のため(2022年12月時点)、保証対象外となっております。
ノーベルバイオケア社
近代インプラントの父・ブローネマルク教授が発見した「骨に結合する歯科インプラント」を世界で初めて製品展開した、近代インプラントシステムのパイオニアです。
ブレーンベース社
純国産メーカーであり、日本人の顎の骨に適したインプラントが特徴。国産インプラントで唯一、FDA(アメリカ食品医薬品局)の認可を受けた製品を使用しています。
まずはお気軽に
あなたの悩みをお聞かせください
あなたの気持ちに寄り添い、
最適な解決策を一緒に考えます。
まずはお気軽にご相談ください。
最適な解決策を一緒に考えます。
まずはお気軽にご相談ください。
取り扱いジルコニアについて
クリア歯科が人工歯に採用しているジルコニアは、人工ダイヤモンドと言われるほどの強度と耐久性を誇り、近年歯科業界で一番注目を集めている素材です。
強度以外にもオールセラミックと同じように変色が少ないなどの特性を持つ、最高級クラウンです。
強度以外にもオールセラミックと同じように変色が少ないなどの特性を持つ、最高級クラウンです。
フルジルコニア (クリア歯科で採用)
内側から外側まですべてジルコニア素材を使用しています。金属を使わないため、金属アレルギーの方にも最適で、チタン並みに人体との親和性があります。5色から選ぶことができ、ご自身の歯に近い色のものを用いて、人工歯を作製いたします。
ジルコニアボンド
技工物の表面に透明感のあるセラミックを焼き付けたもので、フルジルコニアと異なり、色を自由に調整できるのが特徴です。自然な透明感を出すことができるため、強度に加えて審美性を求める患者様に適した、最高級の素材です。
マルチレイヤージルコニア
色の異なる層を重ねたマルチレイヤ―ジルコニアは、天然歯に近い色調のグラデーションが特徴です。従来のジルコニアと違い、色に深みが出るため、より本物に近くなります。特に審美性が求められる前歯などにおすすめの素材です。
オールセラミック
すべてセラミックから形成される素材の総称です。光を透過するため、まるで天然歯のような透明感があり、年月が経っても変色の少ない素材です。ジルコニアと比べると強度は多少劣りますが、審美性に優れた素材です。
ハイブリッド
セラミックとプラスチックの成分が混ぜ合わされた素材です。セラミックの硬さとプラスチックの粘りを兼ね備えていますが、年数と共に変色・変形してしまうデメリットもあります。
被せ物のメリット&デメリット
|
クリア歯科で採用
フルジルコニア
|
ジルコニア
ボンド |
マルチレイヤー
ジルコニア |
オール
セラミック |
ハイブリッド
|
|
| 硬さ | |||||
| 曲げ強度 | |||||
| 色調 | |||||
| 変色 | |||||
| 価格 |
少し高め |
高額 |
高め |
高め |
安め |
審美オプション
ジルコニアボンド
個体差に合わせた色彩の調和
標準的なシェードガイドだけでは表現しきれない、患者様固有の歯の色調を再現します。セラミックのレイヤリングにより、隣在歯との境界を感じさせない自然な移行を実現。前歯部インプラントにおいて、最高レベルの審美性を提供します。
ジルコニア アバットメント
マージン部の審美性と歯周組織への配慮
従来の金属を使用したインプラントの土台(アバットメント/アバットメントにジルコニアを採用することで、歯肉辺縁(マージン)からの金属色露出を回避します。また、ジルコニアはプラークが付着しにくく、上皮付着(生物学的幅径)の獲得に有利であるため、審美面だけでなく歯周病学的にも優れた選択肢となります。


